Las autoridades australianas han quitado la patria potestad a una pareja que sometió a sus pequeños hijos a una estricta dieta vegetariana que los dejó desnutridos.
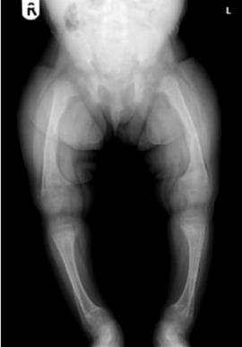
Típica deformación de piernas en el raquitismo
Los tres menores tienen desde 19 meses a seis años. Además de perder a sus hijos, la pareja afronta un proceso que los enviaría a prisión, informa The Daily Telegraph.
La más pequeña presenta raquitismo, enfermedad que afecta a niños desnutridos y no sólo les deforma los huesos y abulta su tórax, sino que su osamenta se vuelve frágil y vulnerable a las fracturas.
A la pobre bebé le daban una taza de avena con leche de arroz y media banana para el desayuno, seguida de un trozo de tostada con mermelada o mantequilla de maní para el almuerzo y tofu, arroz o papas para la cena.
Además de sus males físicos, la pequeña no podía hablar ni gatear como otros niños de su edad. A su vez, el historial médico de la niña reveló que no tenía inmunizaciones, controles de seguimiento y tampoco contaba con un certificado de nacimiento.
