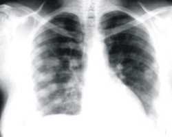
Un nuevo tratamiento se muestra prometedor en el tratamiento de la metástasis (proliferación de células malignas invasivas de un tumor a otras partes del cuerpo) en el cáncer de pulmón por melanoma maligno.
La terapia fue desarrollada por investigadores del Consejo Superior de Investigaciones Científicas (CSIC) de España, dirigidos por Javier Oliver, investigador del Instituto de Parasitología y Biomedicina del CSIC de Ganada.
Los experimentos fueron realizados en ratones, en los cuales se evidenció el potencial terapéutico de los inhibidores de la enzima PARP, una molécula clave en la reparación de los daños inducidos sobre el ADN, cuyo uso reduce por sí solo la presencia de focos de metástasis pulmonar en aproximadamente un 90%, un efecto antimetastásico inédito en el cáncer de piel tipo melanoma.
Los inhibidores de PARP se muestran prometedores contra el cáncer y están siendo utilizados en la actualidad en diversos ensayos clínicos.
Los investigadores subrayaron la importancia de estudiar los mecanismos moleculares de estos compuestos en cuanto actúan sobre los tumores.

2 comentarios
en el peru hay una clinica para el tratamiento
buenos dias en el peru hay un centro medico que da este tratamiento
Cuál sería el tratamiento para este tipo de cáncer me interesa saber por favor