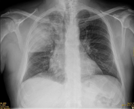
Un brote de neumonía de origen no determinado se ha presentado en seis personas en el sanatorio Luz Médica de San Miguel de Tucumán, Argentina, de las cuales dos ya han perecido. Uno era un médico y el otro un enfermero.
Se ha descartado que se trate de coronavirus, influenza, hantavirus y otros 25 patógenos.
El galeno fallecido tenía 68 años y el enfermero de 45. Las otras cuatro personas contagiadas permanecen internadas y su estado es grave, a excepción de una, que evidencia evolución favorable.
Las autoridades esperan los resultados de la autopsia del profesional fallecido y que el Instituto Malbrán de Buenos Aires analice el material que le fue remitido para poder develar cuál fue la causa, informa el diario La Nación de ese país.
Los pacientes presentaron neumonía bilateral y fueron conectados a un respirador. El sanatorio donde se registró este brote ha sido aislado, no se reciben más pacientes y se han reforzado las medidas de seguridad contra los contagios.
Mientras se esperan los resultados de patología, se revisa el aire acondicionado para verificar que no se hayan acumulado bacterias en el ducto de ventilación.

2 comentarios
Que nos interesa lo que pasa en Argentina, cuando tenemos problemas gigantes dentro de nuestrom Peru.
A MI SI ME INTERESA LO QUE PASA EN EL MUNDO
TENEMOS PROBLEMAS GRANDES PERO NO TENEMOS POR QUE CERRAR NUESTRO HORIZONTE
ALLA TU. CON ESE PENSAMIENTO TE ENCERRARAS PRIMERO CON EL PERU, DESPUES SOLO QURRAS SABER DE PROVINCIA. DESPUES SOLO QUERRAS SABER DE TU DISTRITO. DESPUES SOLO QUERRAS SABER DE TU FAMILIA.
Y POR ULTIMO TE METERAS PARA SABER SOLO DE TI EN UNA CAJA PARA OLER TUS PEDORRONES