Cáncer al cerebro se multiplicará 20 veces en 20 años a causa de los celulares
La bomba de tiempo que traen los teléfonos celulares es terrible: los científicos calculan que los casos de cáncer al cerebro se multiplicarán 20 veces en 20 años debido a su uso.
Tras años de marchas y contramarchas en la aceptación de la relación del cáncer y los teléfonos celulares, debido a los intereses de las empresas productoras de estos aparatos y las prestadoras de sus servicios, finalmente la Organización Mundial de la Salud (OMS) se vio obligada a admitir a los teléfonos celulares como agentes cancerígenos.
Lo grave es que muchos adictos a los celulares son adolescentes y jóvenes, quienes todavía no presentan el cáncer, que tarda años en desarrollarse, que puede ser entre 15 y 20 años, por tanto, para un usuario asiduo del celular, la advertencia podría haber llegado ya muy tarde, aunque deje de usar su celular, más tarde el cáncer cobrará su deuda mortal.
Graham Lamburn, supervisor independiente de Powerwatch, explicó al Daily Mail que la investigación muestra que incluso desde 15 minutos de uso de celular ya hay un incremento del riesgo de desarrollar cáncer, de allí que calculó que en 20 años el número de casos de cáncer al cerebro se multiplicará en 20 veces.
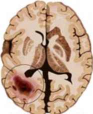
Los celulares estimulan el desarrollo de tumores cerebrales, conocidos como gliomas, observados en los usuarios de cáncer que más se exponen a las emisiones, dijo Elisabeth Cardis, quien condujo el estudio internacional, que a su vez abarcó estudios de 13 países.
Quienes usaron el teléfono cogiéndolo con las manos directamente a la cabeza por 15 minutos diarios, durante siete años, mostraron una incidencia 72% mayor de gliomas, cantidad demasiado alta para los expertos, que consideraron que el riesgo podría todavía ser 10% mayor de lo que los estudios señalan.
Un glioma es mortal, incluso con tratamiento. El paciente muere dentro de los tres a cinco años de la fecha de diagnóstico. Los síntomas dependen del área del sistema nervioso central afectada, y podrían ser:
* Dolores de cabeza.
* Náuseas.
* Vómitos.
* Convulsiones.
* Trastornos de conducta.
* Disminución de fuerza de un lado del cuerpo.
Ver artículos relacionados:
Celulares aumentan el riesgo de cáncer al cerebro: lo cocinan
Teléfonos celulares y peligro de cáncer
Nuevo estudio confirma relación entre cáncer y celulares
Celulares: Riesgo de tumores cerebrales cinco veces mayor en niños
Admiten riesgo de cáncer con celulares en EE. UU.
Cáncer al cerebro: alerta sobre celulares
Prohibirían internet Wi-Fi en escuelas del Reino Unido

4 comentarios
Horror!!!
Y pensar que el maldito García se vanagloria de haber incentivado como gran triunfo el uso de los celulares!!
Y los rateros chilenos a las madres huachafas propagandizando el uso de estos aparatos en niños!!
Detengamos la oleada de cáncer no solo por los celulares sino por los transgénicos que llegan a Perú desde el gobierno del chinorata kenya y los chilenos! en Ica!!
… vo que usay el vibrador del celular como consolador para que te lo metai por el ollo, peruano y la reconchatumare que te mario 👿
chileno basura!!
Ja chileno ratero micropene que al igual que todos tus paisanos tienes un pene menor de 4 cm (ver fotos de SPENCER TUNICK que tomó fotos a miles de chilenos calatos) :woohoo:
Ja chileno ratero que sabes mucho de consolodores etc porque tu cochinadita da asco 😀
Pronto aCUDE AL MÉDICO PORQUE TU CEREBRO QUE SÓLO PIENSA EN CACA YA ESTÁ PODRIDO POR TREMENDO TUMOR CANCEROSO!!
y ESO MULTIPLICADO A TUS AMIGUITOS DE PENES ENCOGIDOS Y TUMORES GIGANTES Y DESTRUCTIVOS EN EL CEREBRO POR RATEROS Y MALVADOS 👿
LA CONTAMINACION ELECTROMAGNETICA UNA CONTAMINACION SILENCIOSA.
La contaminación es la alteración nociva del estado natural de un medio como consecuencia de la introducción de un agente totalmente ajeno a ese medio (contaminante), causando inestabilidad, desorden, daño o malestar en un ecosistema, en un medio físico o en un ser vivo. El contaminante puede ser una sustancia química, energía (como sonido, calor, o luz), o incluso genes. Existen muchos agentes contaminantes entre ellos las sustancias químicas (como plaguicidas, cianuro, herbicidas y otros.), los residuos urbanos, el petróleo, o las radiaciones ionizantes. Todos estos pueden producir enfermedades, daños en los ecosistemas o el medioambiente. Además existen muchos contaminantes gaseosos que juegan un papel importante en diferentes fenómenos atmosféricos, como la generación de lluvia ácida, el debilitamiento de la capa de ozono, el calentamiento global y en general, en el cambio climático.
La Contaminación Sonora o Acústica: Que comprende el ruido producidos por automóviles por el claxon que tocan, ruido de aviones, ruido industrial o ruidos de alta intensidad. Pueden reducir la capacidad auditiva del hombre y producir estrés. (Esta contaminación se puede oír)
La Contaminación Visual : Que está relacionado con los diferentes anuncios publicitarios, que quitan la concentración a los que están manejando, afectando en algunos casos cuando las personas tienen problemas en la vista (esta contaminación se puede ver)
La Contaminación por Desechos Orgánicos, Inorgánicos: las grandes urbes, como el caso de Lima originan grandes aglomeraciones de basura, por el lado de la población, las industrias también, que se pude percibir en el aire cuando se descompone, en muchos casos lo queman, en este caso hay una mayor contaminación, el smock de los automóviles, los vapores y humos que salen de las industrias. (Esta contaminación se puede oler, ver)
En cambio hay un tipo de contaminación que no se puede ver, no se puede sentir, no se puede oler, que se llama la CONTAMINACION ELECTROMAGNETICA O TAMBIEN LLAMADA ELECTROPULUCION. Vienen hacer la contaminación originada por los diferentes tipos de campos electromagnéticos, Se llama radiación no ionizante a toda energía en forma de ondas que se propagan a través del espacio. Este tipo de radiaciones tiene su origen principalmente en los campos electromagnéticos naturales, a los cuales se han unido un amplio número de campos artificiales, creados por maquinaria industrial, líneas eléctricas, electrodomésticos, telefonía celular, en especial las antenas de telefonía celular, que nos exponen a diario a una radiación adicional. Las ondas de radiación de microondas que generan las antenas, son ondas invisibles, no tienen olor y atraviesan todo nuestro cuerpo, El ser humano está conformado por células que tienen un campo electromagnético una muestra de ello es que somos buenos conductores de electricidad.