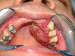
Cáncer bucal es el más costoso de tratar
Delta Dental y otros socios tienen papel fundamental en revolucionario estudio
Un nuevo estudio del Instituto de Investigación y Datos (RDI) de Delta Dental of Michigan halló que, en Estados Unidos, el costo de los tratamientos para el cáncer en la cavidad bucal, faringe y glándulas salivales sería el más alto entre todos los tipos de cáncer en el país. Los detalles del estudio se darán a conocer hoy en la publicación de libre acceso Head and Neck Oncology de BioMed Central.
El proyecto, que incluyó a socios de importancia como Thomson Reuters, Delta Dental of Wisconsin, Vanderbilt University y University of Illinois at Chicago College of Dentistry, comenzó en marzo de 2010.
FUENTE Delta Dental of Michigan
PRNewswire
