Un quinto de hombres mayores de 50 sufren fracturas por osteoporosis
Demanda de atención en consultorios por osteoporosis viene incrementándose
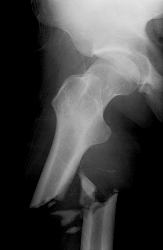
En el Perú, se estima que uno de cada cuatro a cinco hombres mayor de 50 años de edad sufre algún tipo de fractura en el transcurso de su vida a causa de osteoporosis, siendo la fractura de cadera la más discapacitante o causa de muerte en mayores de 60 años, por las complicaciones que provoca el estado de postración en estos pacientes.
Se estima que como consecuencia de esta fractura (de fémur), alrededor del 50% de pacientes mayores de 60 años fallecen dentro del primer año de enfermedad, el 25% presenta algún grado de discapacidad física y sólo un 17 a 20% se reinsertan a su ritmo normal de vida.
Tras advertir que la demanda de atención en consultorios externos por osteoporosis viene incrementándose progresivamente en los establecimientos de salud del país, Yupari sostuvo que aproximadamente el 40% de consultas diarias en el Servicio de Inmunoreumatología del Loayza se relacionan con osteoporosis.
Factores de riesgo
Maruja Yupari dio a conocer que los factores de riesgo para esta dolencia son múltiples, entre ellos: la ingesta inadecuada de calcio desde la infancia, la herencia, la falta de actividad física en edades donde se gana el pico ideal de masa ósea (11 a 30 años de edad), los estilos de vida perjudiciales como el consumo de alimentos con alto contenido de cafeína (gaseosas, bebidas energizantes, café, te) bebidas alcohólicas, el consumo habitual de cigarrillos, tratamiento con corticoides, anticoagulantes, o enfermedades tiroideas y el sedentarismo.
Añadió que en el sexo femenino, alguno de los factores de riesgo es la menopausia precoz, la ausencia de calcio durante la gestación y la lactancia. Cabe destacar que la mayor parte de mujeres que superan la menopausia y tienen más de 50 años están propensas a desarrollar esta enfermedad sino modifican los estilos de vida negativos para la salud ósea.
Finalmente, dijo que en caso de sentir dolores de espalda, desarrollo de “joroba” o disminución de la estatura, se debe solicitar la atención especializada para descartar la presencia de fractura vertebral a causa de osteoporosis y si se tiene algún factor de riesgo y/o familiar directo con diagnostico de osteoporosis, los varones mayores de 50 años deben realizar controles periódicos para evitar padecerlo.
