Una parte de las personas infectadas con el coronavirus COVID-19 reporta pérdida del sentido del olfato. Ahora un estudio explica que este cambio no se debe a que la infección afecta a las células olfativas en la nariz, que se encuentran en los epitelios internos de las fosas nasales, sino que afecta al mismo cerebro.
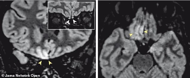
Las flechas indican la zona del cerebro afectada por el virus
La pérdida del olfato puede presentarse en los dos tercios de los contagiados con el coronavirus, como en este caso. Los cambios en el cerebro fueron observados en una paciente de 25 años que perdió el sentido del olfato, sin presentar otros síntomas notorios.
Sus fosas nasales y el pecho eran normales después del examen, pero una resonancia magnética mostró daños en partes de su cerebro involucradas en el sentido del olfato. Es la primera vez que una resonancia magnética muestra los cambios en el cerebro causados por el coronavirus.
Las imágenes muestran ligeras fluctuaciones en un área del cerebro que controla nuestro sentido olfativo. Expertos médicos del Instituto Clínico Humanitas del IRCCS y la Universidad Humanitas en Milán, Italia, y Boston Children’s en los Estados Unidos, señalan que las alteraciones se ven con claridad, aunque no sean tan claras para el común de la gente.
La paciente, una radióloga italiano, había estado trabajando en una sala de su hospital atendiendo pacientes con coronavirus. Por un solo día la trabajador de la salud tuvo una tos seca, que pasó al día siguiente.
Pero no podía oler nada, y todo lo que comía o bebía sabía. Los dos síntomas sensoriales persistieron, a pesar de que no desarrolló fiebre y se sintió mayormente bien, informa la revista Jama Network.
Los exámenes de su nariz y pecho parecían normales tres días después de que su sentido del olfato desapareciera, por lo que los médicos también realizaron una resonancia magnética del cerebro de la mujer.

La espiga del coronavirus se engancha a los receptores ACE2 de las células
Encontraron cambios en su cerebro en dos áreas: una región llamada giro recto derecho y en los bulbos olfativos, que son los que toman información sensorial de la nariz y la pasan a otras regiones, incluido el giro recto, para su procesamiento.
La forma en que estos cambios aparecieron en la resonancia magnética fue consistente con el tipo de imágenes que los médicos esperarían ver de los ataques virales en el órgano, por lo que analizaron a la mujer para detectar coronavirus. Su prueba fue positiva.
Después de 28 días, los médicos hicieron otra resonancia magnética y pudieron ver que su cerebro comenzaba a volver a la normalidad, aunque los bulbos olfatorios permanecieron ligeramente inflamados. Finalmente, el sentido del olfato de la mujer volvió y no se vio ningún daño a largo plazo.
Curiosamente, los médicos tomaron imágenes de resonancia magnética de otros dos pacientes con coronavirus y pérdida de olfato, pero no vieron los cambios cerebrales en ellos.
Sin embargo, las alteraciones en el cerebro de la mujer fueron consistentes con las observadas en autopsias y estudios en animales anteriores: el suyo fue solo el primer cerebro humano vivo en el que los médicos observaron los ataques del virus.
“Según los hallazgos de la resonancia magnética, incluidos los ligeros cambios en el bulbo olfatorio, podemos especular que el SARS-CoV-2 podría invadir el cerebro a través de la vía olfatoria y causar una disfunción olfatoria”, escribieron los autores del estudio.
Además, el hecho de que la mujer realmente haya desarrollado otros signos de coronavirus, como fiebre, fatiga o tos persistente, les dijo a los médicos que la pérdida del olfato puede ser no solo un síntoma, sino el síntoma principal del virus.+
Artículo relacionados
El coronavirus puede dañar el sistema nervioso central
