Parte II. Vasos sanguíneos, endotelitis, otros órganos, objetos metálicos
Consideran un «crimen» que se pretenda vacunar a niños y adolescentes con vacunas como Pfizer, Johnson & Johnson, Moderna y AstraZeneca. De 30% a 40% de fallecidos tras la vacuna lo son por causa de la vacuna. Casos no vistos antes, como el «turbocáncer» o aceleración de crecimiento de tumores y tejido maligno. Ataque «feroz» de linfocitos a tejidos sanos.
En el Instituto de Patología de Reutlingen, Alemania, realizaron autopsias de personas fallecidas tras la vacunación COVID-19 y los resultados dejaron perplejos a los médicos, quienes llegaron a calificar estas muestras de “espeluznantes”, con resultados de patología que calificaron de “rarísimos”, pese a que el expositor principal, doctor Arne Burkhardt, tiene en su haber más de 40 mil autopsias y medio millón de resultados de patología.
Doctor Walter Lang
Las evidencias fueron mostradas mediante fotos de microscopio electrónico y explicadas por los doctores y profesores Arne Burkhardt(1) y Walter Lang(2). También participó el profesor Prof. Dr. Werner Bergholz(3).
El expositor principal de la conferencia, doctor Burkhardt, tiene en su haber más de 40 mil autopsias realizadas y más de medio millón de análisis de patología y muestra asombrado casos nunca vistos en toda su vida.
El doctor Bergholz precisa que cada vacuna tiene un nivel de riesgo. Es clarísimo. “Cada año se tenía 40 millones de vacunas y 20 muertos en fecha cercana a la vacunación y este año hasta julio 80 millones de vacunaciones y 1,230 muertos es clarísima la cifra multiplicada. En Europa son más de 14 mil fallecidos según la EMA, pero no están incluidos todos los casos alemanes”, explica.
Alarma por vacunación de niños y adolescentes
Además hay diez veces más casos de daños graves, ceguera, sordera, fallo cardiaco, derrame cerebral, son cientos de miles de estos casos graves, son más de un millón de notificaciones de casos. En niños hay 200 casos graves y un fallecido, una mejor base de datos cuenta 39 fallecidos y más de 2,000 casos graves.
Evitan autopsias a muertos tras la vacuna covid
El doctor Burkhardt recuerda que un trabajo en 1997 realizado por él y recomendó seguimiento de todos los casos de influenza y autopsias en todos ellos, así recomendó el prestigioso Instituto Robert Koch (RKI). Sorprendentemente, para el COVID-19 el RKI ha cambiado y ¡evita a toda cosa recomendar autopsias a los fallecidos por COVID-19! ¿Qué grandes intereses pueden torcer la práctica científica del instituto de investigación de salud más importante del mundo?
De modo que el doctor Burkhardt realiza estudios de patología por su cuenta, junto con otros científicos (peer review), incluyendo unos de Austria, para evitar críticas si lo hace solo, en muertos tras recibir vacunas contra el COVID-19 de las empleadas en Alemania: PFizer (Cominarty), Moderna, Astrazeneca, Johnson & Johnson (Jansen).
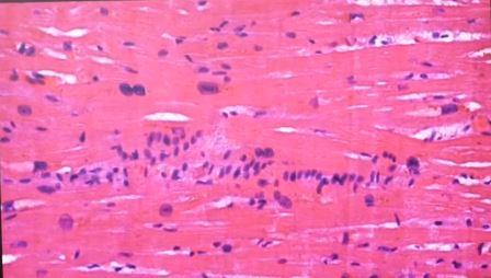
Encontraron por ejemplo, al igual que estudiosos de otros países, trombos, miocarditis, cambios en la estructura pulmonar, infarto pulmonar, insuficiencia cardiaca, vasos afectados, fallo multiorgánico, vasculitis de la piel que tiene que ver con el sistema inmunitario, necrosis pancreática, alveolitis, Hashimoto, inmunopatía, dilatación, hipertrofia del corazón, miocarditis con destrucción de la fibra y folículos de seudolinfoma, alveolitis linfocítica, epicarditis, afección rara de la glándula salival, vasculitis por linfocitos con afección del pericardio, típico de virus no tratado y no es una infección sino afección por sustancias del virus que deben estar en la vacuna, miocarditis multifocal, ruptura de la aorta con taponamiento, infiltración de linfocitos en músculos.
En casos de infarto han cortado en 15 mil partes el corazón para ver la patología, es decir un trabajo gigantesco.
He aquí lo mostrado.
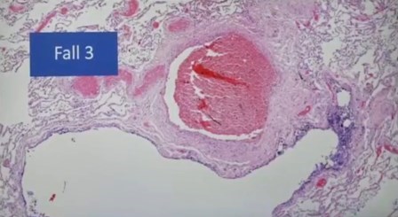
Vasos sanguíneos, endotelitis
El endotelio es la capa que recubre los vasos, son tan pequeños que normalmente no se ven.
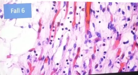
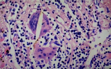
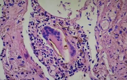
Linfocitos en endotelio, endotelitis

Foco de infección, inflamación no sólo de los vasos sanguíneos, sino múltiple.

Ampliación

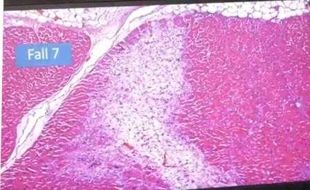
Epicarditis

Epicardio con infiltración de linfocitos

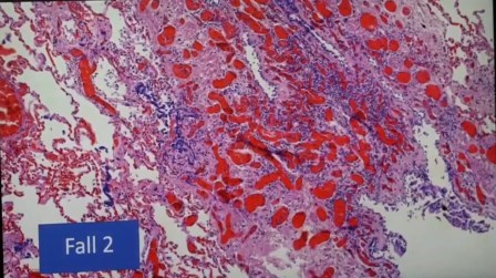
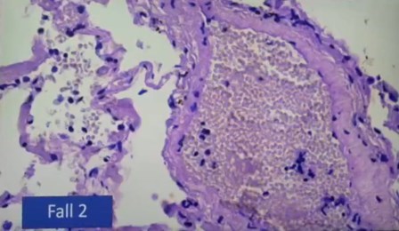
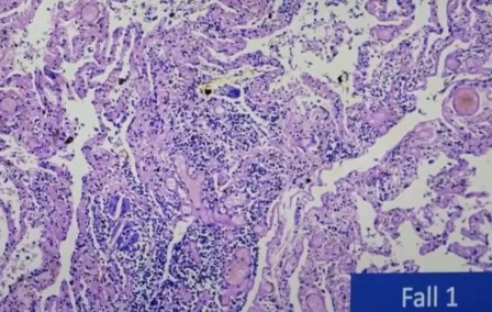
Atelectasis, pulmón colapsado

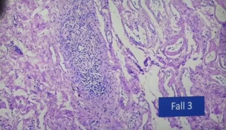
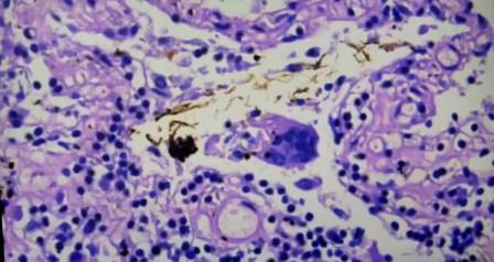
Aglomeración de linfocitos alrededor de un vaso

Fenómenos del sistema autoinmune desconocidos, Sjörgen, Hashimoto extremadamente raro y se ve en estos fallecidos varias veces, lo cual es alarmante. Además, se observa una aceleración de crecimiento de tumores.
«Esto no es autolisis y lo vemos una y otra vez, con desprendimiento del endotelio de los vasos, entotelitis», exclama el científico. Terrible.
«Antes no lo había visto, y yo he visto mas de 40 mil autopsias y 500 mil biopsias, estas células que se han desprendido no es autolisis, porque hay también eritrocitos, que son las células largas, y no pueden estar allí después de la autolisis y lo vemos una y otra vez. Hay desprendimiento de células endotélicas», detalla.
Esta aglomeración está en investigación

Vasos y endotelios, también en investigación, debido a la rareza, que les impide determinar lo que es

Esto no se pudo interpretar, son cosas “rarísimas” en este pulmón, y no solo una, sino varias veces, es decir, en varios fallecidos.

“Esto tampoco se que es, no tengo idea, no es un nervio, creo que es un vaso”, indica.

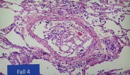
Eritrocitos grumos

Eritrocitos normales, separados

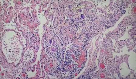
Otro caso de eritrocitos en grumos en inflamación de vena pulmonar

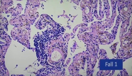
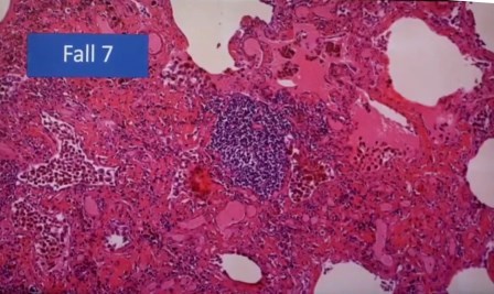
Caso severo, linfocitos en pared vascular

Infarto pulmonar que no debería ser mortal, se ven los linfocitos

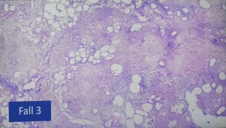
Páncreas y otros órganos
Necrosis de páncreas con infiltración de linfocitos

Vaso con infiltración de linfocitos

VASCULITIS Y PERIVASCULITIS
Linfocitos, “¿qué están haciendo en la aorta? ¡por Dios!”, dice sorprendido el experimentado patólogo.

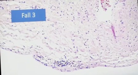
Piel
Perivaculitis en piel en autopsia, linfocitos y hasta hematomas. Supone que sería un “ataque feroz” de linfocitos en todas partes autoinmunopatía, hiperplasia y alteración de los órganos linfáticos, infiltraciones con destrucción en órganos no linfáticos, por ejemplo en hígado, glándulas salivales, tiroides, etc.

Se advierte agotamiento de los órganos linfáticos con reducción de la capacidad del sistema inmune, inmunopatías bastante prolongadas.
Brónculo-folículo, esto suele verse en enfermedades autoinmunes crónicas, pero no debería ser en pacientes con pulmones normales.

Folículo de linfoma con dos focos que tienen mucha fuerza. Se ven focos de infección que se ven en los de la memoria y los que causan la respuesta del sistema inmunitario

Infiltración de linfocitos en el hígado, suele pasar en hepatitis, pero es poco probable en casos vasculares. Para que el hígado tenga un nudo tan delimitado, que no es una angiopatitis, sino un folículo parte de un linfoma

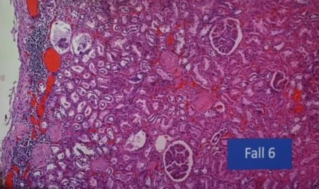
Infiltración e inflamación renal, no en los glomérulos, sino nefritis intersticial

Los linfocitos están alrededor del glomérulo pero no lo afectan directamente

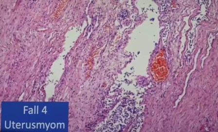
Cosa rarísima. He visto muchísimos miomas de útero, pero que tenga infiltración de linfocitos es algo nuevo, “no lo he visto en toda mi vida”.

Tejido adiposo pararrenal con infiltración de linfocitos, también muy raro

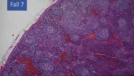
Nodo linfático de casi cuatro centímetros, fuerte reacción inmune, linfoma

Los folículos del nódulo linfático

Glándula salival con el tejido muy afectado, muy raro, síndrome de Sjörgen. Estos síndromes como el de Hashimoto son rarísimos, un caso en 100 mil, y tenerlos varios de un número de 10 autopsias es improbable

Caso único
Se ha encontrado acero inoxidable en Moderna, la empresa dice que es usual e inocuo, microscopio de campo oscuro
Comprobado en Reuttlingen, microscopio de campo oscuro. No son elementos biológicos, vacunado con Moderna

Hilos

Hilos cajitas, objetos rarísimos

Células gigantes de cuerpo extraño, son como macrófagos en alveolitis

Esta célula gigante en mujer de 80 años

Objetos largos de color marrón que atraviesan la célula en la mayoría de los casos se ha disuelto la parte metálica


Aquí también una parte desprendida en la célula gigante

Así se ve el metal reflejante. Esta partícula tiene un borde muy definido de acero inoxidable en la célula gigante. “Deben haber inyectado en el vaso sanguíneo y no sé si la mujer murió por eso, no tengo todos los datos, pero lo he visto muchísimo, han quitado el requisito de aspirar (con la jeringa)”, al vacunar.

___________________
- (1)Fue muchos años docente en las universidades de Hamburgo, Berna y Tübingen, así como en cátedras visitantes y visitas de estudio en Japón (Universidad Nihon), EE. UU. (Instituto Nacional Brookhaven), Corea, Suecia, Malasia y Turquía. Dirigió el Instituto de Patología en Reutlingen durante 18 años y luego trabajó como patólogo residente. El profesor Burkhardt ha publicado más de 150 artículos en revistas especializadas y como contribuciones a manuales. También ha certificado Institutos de Patología.
- (2)Trabajó como patólogo en la Escuela de Medicina de Hannover de 1968 a 1985. Durante 25 años, dirigió un instituto privado de patología en Hannover, que fundó con un enfoque en patología de trasplantes, citología extraginecológica, tumores de tiroides y patología pulmonar / pleural. Realizó diagnósticos de consulta para 12 grandes clínicas pulmonares y realizó exámenes de patología hepática para numerosas clínicas. En el período 1985-2020 realizó exámenes de consulta para el departamento de patología de la clínica pulmonar de Herner.
- (3)Es un exprofesor de ingeniería eléctrica con un enfoque en la gestión de la calidad y el riesgo en la Universidad Jakobs de Bremen. Antes de su nombramiento, el profesor Bergholz trabajó durante 17 años en la gestión de la producción de chips en Siemens.
Nota.- Hasta el momento, la única vacuna usada en el Perú que no es de este tipo, ARNm, es la Sinopharm,que no presenta riesgos graves, sólo en algunos casos efectos pasajeros, como fiebre o dolor.
Artículos relacionados
