Parte I, corazón y pulmón
Consideran un «crimen» que se pretenda vacunar a niños y adolescentes con vacunas como Pfizer, Johnson & Johnson, Moderna y AstraZeneca. De 30% a 40% de fallecidos tras la vacuna lo son por causa de la vacuna. Casos no vistos antes, como el «turbocáncer» o aceleración de crecimiento de tumores o tejido maligno. Ataque «feroz» de linfocitos a tejidos sanos.
En el Instituto de Patología de Reutlingen, Alemania, realizaron autopsias de personas fallecidas tras la vacunación COVID-19 y los resultados dejaron perplejos a los médicos, quienes llegaron a calificar estas muestras de “espeluznantes”, con resultados de patología que calificaron de “rarísimos”, pese a que el expositor principal, doctor Arne Burkhardt, tiene en su haber más de 40 mil autopsias y medio millón de resultados de patología.
Doctor Arne Burkhardt, patólogo
Las evidencias fueron mostradas mediante fotos de microscopio electrónico y explicadas por los doctores y profesores Arne Burkhardt(1) y Walter Lang(2). También participó el profesor Prof. Dr. Werner Bergholz(3).
El expositor principal de la conferencia, doctor Burkhardt, tiene en su haber más de 40 mil autopsias realizadas y más de medio millón de análisis de patología y muestra asombrados casos nunca vistos en toda su vida. Se estima que del 30 a 40% de fallecidos después de la vacuna son a causa de la vacuna.
El doctor Bergholz precisa que cada vacuna tiene un nivel de riesgo. Es clarísimo. “Cada año se tenía 40 millones de vacunas y 20 muertos en fecha cercana a la vacunación y este año hasta julio 80 millones de vacunaciones y 1,230 muertos es clarísima la cifra multiplicada. En Europa son más de 14 mil fallecidos según la EMA, pero no están incluidos todos los casos alemanes”, explica.
Alarma por vacunación de niños y adolescentes
Además hay diez veces más casos de daños graves, ceguera, sordera, fallo cardiaco, derrame cerebral, son cientos de miles de estos casos graves, son más de un millón de notificaciones de casos. En niños hay 200 casos graves y un fallecido, una mejor base de datos cuenta 39 fallecidos y más de 2,000 casos graves.
Evitan autopsias a muertos tras vacuna covid
El doctor Burkhardt recuerda que un trabajo en 1997 realizado por él y recomendó seguimiento de todos los casos de influenza y autopsias en todos ellos, así recomendó el prestigioso Instituto Robert Koch (RKI). Sorprendentemente, para el COVID-19 el RKI ha cambiado y ¡evita a toda cosa recomendar autopsias a los fallecidos tras la vacuna COVID-19! ¿Qué grandes intereses pueden torcer la práctica científica del instituto de investigación de salud más importante del mundo?
De modo que el doctor Burkhardt realiza estudios de patología por su cuenta, junto con otros científicos (peer review), incluyendo unos de Austria, para evitar críticas si lo hace solo, en muertos tras recibir vacunas contra el COVID-19 de las empleadas en Alemania: PFizer (Cominarty), Moderna, Astrazeneca, Johnson & Johnson (Jansen).
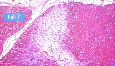
Pareciera que se desencadena un ataque desbocado y demencial contra músculos, vasos y órganos sanos con infiltración de linfocitos en los tejidos y hasta desprendimiento del endotelio vascular. Encontraron por ejemplo, al igual que estudiosos de otros países, trombos, miocarditis, cambios en la estructura pulmonar, infarto pulmonar, insuficiencia cardiaca, vasos afectados, fallo multiorgánico, vasculitis de la piel que tiene que ver con el sistema inmunitario, necrosis pancreática, alveolitis, Hashimoto, inmunopatía, dilatación, hipertrofia del corazón, miocarditis con destrucción de la fibra y folículos de seudolinfoma, alveolitis linfocítica, epicarditis, afección rara de la glándula salival, vasculitis por linfocitos con afección del pericardio, típico de virus no tratado y no es una infección sino afección por sustancias del virus que deben estar en la vacuna, miocarditis multifocal, ruptura de la aorta con taponamiento, infiltración de linfocitos en músculos.
En casos de infarto han cortado en 15 mil partes el corazón para ver la patología, es decir un trabajo gigantesco.
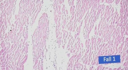
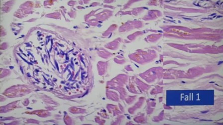
He aquí lo mostrado. Primero, en corazón:
Destrucción de la fibra muscular y el edema

Lo mismo, los puntitos negros que son los linfocitos

Con aumento se ve la vasodilatación, linfocitos, fibroblastos

Aquí es más notable la destrucción de la fibra muscular

Aquí el edema muy visible

Multfocales

Los puntos negros son infiltración de linfocitos en la parte decisiva

Foco de infección en otro sitio y no había una oclusión coronal, quiere decir que no se debe a los vasos sanguíneos, sino la inflamación que se manifiesta de manera múltiple

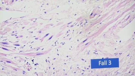
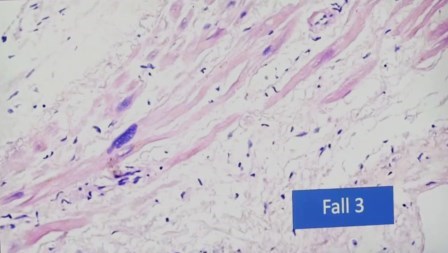
Aquí se ve el fenómeno que se llama la «pila de dinero»

Ampliación, linfocitos y granulocitos. Los linfocitos no deben estar allí, pero están omnipresentes, se trata de una epicarditis

Epicardio con infiltración de linfocitos

Estas miocarditis vistas no son por virus sino por sustancias de la vacuna
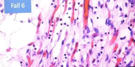
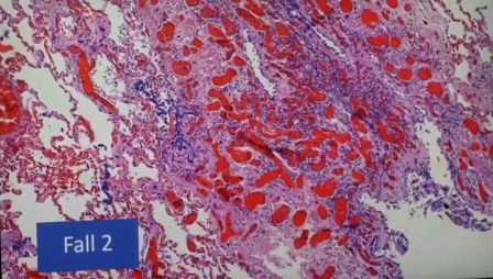
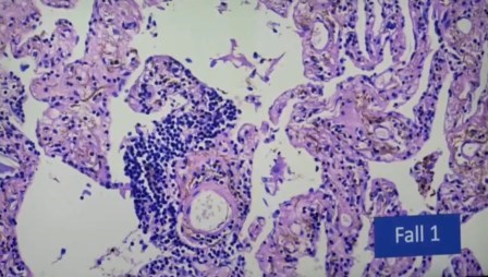
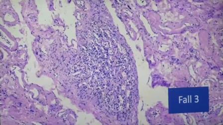
Pulmón
Daño alveolar difuso, no es alveolitis. Sólo se ven los linfocitos por el colapso

Aglomeración de linfocitos alrededor de un vaso

Incluso se ven los folículos, no deberían estar allí porque solo deberían estar en una reacción alérgica y aquí no hay nada exógeno, es endógeno

Esto todavía se está evaluando, todavía no se sabe, sobre todo como fenómenos del sistema autoinmune, reducción del sistema inmunitario, aceleración del crecimiento de tumores

Los grumos que forman los eritrocitos hasta que haya microtrombos. “No hemos visto microtrombos pero en sólo 10 pacientes es alarmante que se vea casos rarísimos como Sjörgen o Hashimoto”.

___________________
- (1)Fue muchos años docente en las universidades de Hamburgo, Berna y Tübingen, así como en cátedras visitantes y visitas de estudio en Japón (Universidad Nihon), EE. UU. (Instituto Nacional Brookhaven), Corea, Suecia, Malasia y Turquía. Dirigió el Instituto de Patología en Reutlingen durante 18 años y luego trabajó como patólogo residente. El profesor Burkhardt ha publicado más de 150 artículos en revistas especializadas y como contribuciones a manuales. También ha certificado Institutos de Patología.
- (2)Trabajó como patólogo en la Escuela de Medicina de Hannover de 1968 a 1985. Durante 25 años, dirigió un instituto privado de patología en Hannover, que fundó con un enfoque en patología de trasplantes, citología extraginecológica, tumores de tiroides y patología pulmonar / pleural. Realizó diagnósticos de consulta para 12 grandes clínicas pulmonares y realizó exámenes de patología hepática para numerosas clínicas. En el período 1985-2020 realizó exámenes de consulta para el departamento de patología de la clínica pulmonar de Herner.
- (3)Es un exprofesor de ingeniería eléctrica con un enfoque en la gestión de la calidad y el riesgo en la Universidad Jakobs de Bremen. Antes de su nombramiento, el profesor Bergholz trabajó durante 17 años en la gestión de la producción de chips en Siemens.
Nota.- Hasta el momento, la única vacuna usada en el Perú que no es de este tipo, ARNm, es la Sinopharm,que no presenta riesgos graves, sólo en algunos casos efectos pasajeros, como fiebre o dolor.
Artículos relacionados

15 comentarios
Y los chinos vacunan a sus niños desde los 3 años
CON. SINOPHARM
Y los. Chilenos han comprado está sinooharm QUE SI ES VACUNA. Y la aplican ánimos desde los 5 alos!!
que horror. las vacunas vuelven locas a las defensas y atacan al cuerpo sano
ESTO DEBE INVESTIGARSE
ABOGADOS Y MEDICOS DEBEN EXIGIR LA VERDAD Y PARAR LAS VACUNAS BASURA Y DEJAR SOLO LAS INOFENSIVAS
No, es el hidróxido de grafeno. Cuchillas nanometricas supera filmadas que corta por donde pasa
El hidróxido de grafeno, que tienen las vacunas, actúan como cuchillas nanometricas que cortan todo a su paso. Esa es la clave. Y el problema real.
Increíble! Hasta dónde ha llegado el ser humano? Al grado de convertirse en un ASESINO!! Éstas mal llamadas «vacnas» son experimentales xq no han terminado sus fases clínicas, no se sabe los efectos a mediano ni a largo plazo, aunq ya en corto hay muchos, cuáles más saldrán? Esto es un genocidio!¡!! Dios mío, ten misericordia de nosotros. Perdón x tanta maldad ?
Este medio es más trágicomaníaco que el mismo Arne Burhardt. Y al igual que tanto cojudo alarmista, se «educa» a partir del YouTube: ociosos de la lectura seria y la investigación seria.??
SE NOTA QUE NO TIENES NI PRIMARIA
LA INVESTIGACION CIENTIFICA ES UNA COSA
LO QUE PRESENTAN ESTOS MEDICOS SON EVIDENCIAS IMBECIL
ASI COMENZARON TODAS LAS INVESTIGACIONES SOBRE TODAS LAS ENFERMEDADES O SECUELAS DE ALGO COMO TRATAMIENTOS, ALIMENTOS, ETC
DE LA SUMA DE EVIDENCIAS LES TOCA A LOS CIENTIFICOS DETERMINAR LAS CAUSAS, LO CUAL EN ESTE MOMENTO ES DIFICIL POR LOS MILLONES DE DOLARES QUE CORREN BAJO LA MESA
PERO SIEMPRE HABRA PROFESIONALES QUE BUSQUEN LA VERDAD
ES COMO LOS MEDICAMENTOS QUE ANTES SE CREIAN QUE ERAN PANACEA Y DESPUES SE DESCUBRIO QUE CAUSABAN MALES GRAVES COMO CANCER, DEMENCIA, ETC ETC. TODO COMIENZA CON LAS EVIDENCIAS TARADITO
Entonces solo conviene vacunarse con la vacuna China :0
en el Perú sí, la Sinopharm es la única que no causa efectos graves.
En el mundo hay ahora otras que no causan efectos graves y son duraderas: Sputik V, Sinovac, Novavax, Soberana, Abdala, Hipra.
Gracias por este reporte. La mayoria de la populacion es ignorante de los hechos. Hay una coalicion de doctores que estan peleando para que la verdad tambien pueda encontrar se en los medios sociales FLCCC porque si hay Un protocolo a seguir si estas infectado con el virus.
Las e statistical sin claras el 99% no estan en riesgo pero si hay medicina para tratar se al primer sintoma.
[/quote] ninguna vacuna es buena
ninguna vacuna es buena yo no para ustedes cuál es el afán por vacunarse no crean todo lo que dicen los gobiernos y la ciencia
La Sputnik y la Sinopharm han demostrado no tener efectos adversos
ninguna vacuna es buena yo no para ustedes cuál es el afán por vacunarse no crean todo lo que dicen los gobiernos y la ciencia[/quote]
En EEUU está la Novavax, tampoco tiene efectos secundarios. COmo la SPutnkin y Sinopharm, han seguido el metodo tradicional